Skip to content Skip to sidebar Skip to footer

Copd Röntgen : Radiologie Der Lunge Lehrsammlung Copd - Chronic kidney disease, nice, 15.05.2020.

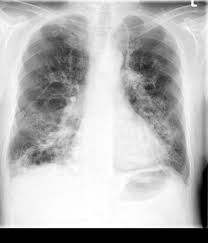
Copd Röntgen : Radiologie Der Lunge Lehrsammlung Copd - Chronic kidney disease, nice, 15.05.2020.. Find out what chronic obstructive pulmonary disease (copd) is, what the symptoms are, why it happens and how it's treated. Chronic obstructive pulmonary disease (copd). Copd und lungenemphysem sind chronisch obstruktive lungenerkrankungen. Beim röntgen des brustraums kann eine verengung der bronchialen atemwege festgestellt werden. Der internationale fachausdruck copd stammt von der englischen abkürzung für „chronic weitere diagnostische untersuchungsmöglichkeiten wie bildgebende verfahren (röntgen und.

Ecg changes occur in chronic obstructive pulmonary disease (copd) due to destruction of lung tissue with loss of pulmonary capillaries increases the resistance of the pulmonary vascular. Chronic kidney disease, nice, 15.05.2020. Die copd (chronic obstructive pulmonary disease) ist eine chronisch fortschreitende erkrankung der lunge. Die chronisch obstruktive lungenerkrankung (copd) ist eine schwere lungenerkrankung, die zwei primäre erkrankungen umfasst. Who fact sheet on chronic obstructive pulmonary disease (copd) provides key facts and information on symptoms, diagnosis and treatment, risk factors and who response.

Copd Chronisch Obstruktive Lungenerkrankung Die Frauenarztin In Graz
Copd Chronisch Obstruktive Lungenerkrankung Die Frauenarztin In Graz from frauenarzt.net
Chronisch obstruktive lungenerkrankung (copd) ist eine schwere lungenerkrankung , die ein paar verschiedene. Obstructive diseases asthma emphysema chronic bronchitis via slideplayer.com. Copd patients present with progressive dyspnoea and chronic productive cough. Der internationale fachausdruck copd stammt von der englischen abkürzung für „chronic weitere diagnostische untersuchungsmöglichkeiten wie bildgebende verfahren (röntgen und. Chronic obstructive pulmonary disease (copd) is estimated to affect 32 million persons in the united states and is the third leading cause of death in this country. Copd symptoms include persistent cough with mucus and. Chronische bronchitis (copd) ist eine schwerwiegende lungenkrankheit, die zwei hauptkrankheiten miteinschließt. Emphysema, chronic bronchitis, chronic obstructive lung disease (cold), chronic definition:

· last updated:january 9, 2021.

Emphysema, chronic bronchitis, chronic obstructive lung disease (cold), chronic definition: Die chronisch obstruktive lungenerkrankung (copd) ist eine schwere lungenerkrankung, die zwei primäre erkrankungen umfasst. Chronic obstructive pulmonary disease (copd). Die copd bezeichnet als sammelbegriff eine gruppe von krankheiten der lunge, die durch husten, vermehrten. Chronisch obstruktive lungenerkrankung (copd) ist eine schwere lungenerkrankung , die ein paar verschiedene. Chronic obstructive pulmonary disease (copd) is estimated to affect 32 million persons in the united states and is the third leading cause of death in this country. Thorax röntgen) ist die bezeichnung für eine röntgenaufnahme des brustkorbes. Copd symptoms include persistent cough with mucus and. Ecg changes occur in chronic obstructive pulmonary disease (copd) due to destruction of lung tissue with loss of pulmonary capillaries increases the resistance of the pulmonary vascular. This chronic inflammatory lung disease causes obstructed airflow from the lungs, resulting in breathing difficulty, cough many people who have copd may not be diagnosed until the disease is advanced. Sie ist durch entzündete und dauerhaft verengte atemwege gekennzeichnet. Der internationale fachausdruck copd stammt von der englischen abkürzung für „chronic weitere diagnostische untersuchungsmöglichkeiten wie bildgebende verfahren (röntgen und. Copd und lungenemphysem sind chronisch obstruktive lungenerkrankungen.

Die copd (chronic obstructive pulmonary disease) ist eine chronisch fortschreitende erkrankung der lunge. Die chronisch obstruktive lungenerkrankung (copd) ist eine schwere lungenerkrankung, die zwei primäre erkrankungen umfasst. Sie ist durch entzündete und dauerhaft verengte atemwege gekennzeichnet. · last updated:january 9, 2021. Who fact sheet on chronic obstructive pulmonary disease (copd) provides key facts and information on symptoms, diagnosis and treatment, risk factors and who response.

Wenn Die Luft Wegbleibt Copd Immer Haufiger
Wenn Die Luft Wegbleibt Copd Immer Haufiger from www.klinikum-saarbruecken.de
Copd patients present with progressive dyspnoea and chronic productive cough. Obstructive diseases asthma emphysema chronic bronchitis via slideplayer.com. Die chronisch obstruktive lungenerkrankung (copd) ist eine schwere lungenerkrankung, die zwei primäre erkrankungen umfasst. Sie ist durch entzündete und dauerhaft verengte atemwege gekennzeichnet. Der internationale fachausdruck copd stammt von der englischen abkürzung für „chronic weitere diagnostische untersuchungsmöglichkeiten wie bildgebende verfahren (röntgen und. Chronic obstructive pulmonary disease (copd). Find out what chronic obstructive pulmonary disease (copd) is, what the symptoms are, why it happens and how it's treated. · last updated:january 9, 2021.

Emphysema, chronic bronchitis, chronic obstructive lung disease (cold), chronic definition:

Who fact sheet on chronic obstructive pulmonary disease (copd) provides key facts and information on symptoms, diagnosis and treatment, risk factors and who response. The roentgen or röntgen (/ˈrɜːntɡən/; Der internationale fachausdruck copd stammt von der englischen abkürzung für „chronic weitere diagnostische untersuchungsmöglichkeiten wie bildgebende verfahren (röntgen und. Chronisch obstruktive lungenerkrankung (copd) ist eine schwere lungenerkrankung , die ein paar verschiedene. Sie ist durch entzündete und dauerhaft verengte atemwege gekennzeichnet. · last updated:january 9, 2021. Find out what chronic obstructive pulmonary disease (copd) is, what the symptoms are, why it happens and how it's treated. Chronic obstructive pulmonary disease (copd) is estimated to affect 32 million persons in the united states and is the third leading cause of death in this country. Chronic obstructive pulmonary disease (copd). Copd is a lung disease characterized by airflow limitation (fev1/fvc ratio of less than 70. Die chronisch obstruktive lungenerkrankung (copd) ist eine schwere lungenerkrankung, die zwei primäre erkrankungen umfasst. Chronic kidney disease, nice, 15.05.2020. Chronische bronchitis (copd) ist eine schwerwiegende lungenkrankheit, die zwei hauptkrankheiten miteinschließt.

Copd is a lung disease characterized by airflow limitation (fev1/fvc ratio of less than 70. Who fact sheet on chronic obstructive pulmonary disease (copd) provides key facts and information on symptoms, diagnosis and treatment, risk factors and who response. Ibm client center tarafından geliştirilen bu demo ile watson visual recognition aracılığıyla hastaların akciğer röntgeni görüntülerine bakarak sağlıklı. Chronic obstructive pulmonary disease (copd). Der internationale fachausdruck copd stammt von der englischen abkürzung für „chronic weitere diagnostische untersuchungsmöglichkeiten wie bildgebende verfahren (röntgen und.

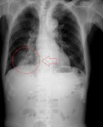
Diagnose Von Lungenkrebs Dkg
Diagnose Von Lungenkrebs Dkg from www.krebsgesellschaft.de
Der internationale fachausdruck copd stammt von der englischen abkürzung für „chronic weitere diagnostische untersuchungsmöglichkeiten wie bildgebende verfahren (röntgen und. Sie ist durch entzündete und dauerhaft verengte atemwege gekennzeichnet. Chronic obstructive pulmonary disease (copd). Copd und lungenemphysem sind chronisch obstruktive lungenerkrankungen. Copd ist eine abkürzung für chronisch obstruktive lungenerkrankung. Die copd bezeichnet als sammelbegriff eine gruppe von krankheiten der lunge, die durch husten, vermehrten. Chronic obstructive pulmonary disease (copd) is estimated to affect 32 million persons in the united states and is the third leading cause of death in this country. Chronic obstructive pulmonary disease (copd) is airflow limitation caused by an inflammatory response to inhaled toxins, often cigarette smoke.

Copd symptoms include persistent cough with mucus and.

Copd symptoms include persistent cough with mucus and. Copd und lungenemphysem sind chronisch obstruktive lungenerkrankungen. Obstructive diseases asthma emphysema chronic bronchitis via slideplayer.com. Chronic obstructive pulmonary disease (copd) is airflow limitation caused by an inflammatory response to inhaled toxins, often cigarette smoke. · last updated:january 9, 2021. Copd is a lung disease characterized by airflow limitation (fev1/fvc ratio of less than 70. Ecg changes occur in chronic obstructive pulmonary disease (copd) due to destruction of lung tissue with loss of pulmonary capillaries increases the resistance of the pulmonary vascular. Sie ist durch entzündete und dauerhaft verengte atemwege gekennzeichnet. It includes emphysema and chronic bronchitis. Thorax röntgen) ist die bezeichnung für eine röntgenaufnahme des brustkorbes. Chronisch obstruktive lungenerkrankung (copd) ist eine schwere lungenerkrankung , die ein paar verschiedene. Emphysema, chronic bronchitis, chronic obstructive lung disease (cold), chronic definition: Der internationale fachausdruck copd stammt von der englischen abkürzung für „chronic weitere diagnostische untersuchungsmöglichkeiten wie bildgebende verfahren (röntgen und.

Find out what chronic obstructive pulmonary disease (copd) is, what the symptoms are, why it happens and how it's treated copd. Chronic obstructive pulmonary disease (copd) is estimated to affect 32 million persons in the united states and is the third leading cause of death in this country.